面对功能繁多的口腔管理软件,许多门诊管理者常会问一个问题:“哪些功能真的能帮我提效?”e看牙的功能清单虽然丰富,但真正值得关注的,是那些能够切入业务痛点、解决实际问题的核心模块。比如AI看牙如何节省医生时间,智能工牌如何提升成交率,机器人如何解放人工重复劳动……这些功能不是锦上添花,而是雪中送炭。本文将从“提效”的角度,精选e看牙软件中具有代表性的能力,拆解它们如何在实际场景中创造价值,帮助门诊轻装上阵、快速见效。

一、公司实力与数智生态全景
领健成立于2015年,总部位于上海,专注于为消费医疗机构提供经营管理一体化数智化解决方案。公司核心团队汇聚了来自微软、腾讯、飞利浦医疗等知名企业及国内外医学院校,并拥有一支由博士后、博士领衔、具备10年以上AI与深度学习经验的科学家算法团队。领健凭借扎实的技术能力,获得ISO/IEC27001国内国际双认证、公安部等保三级认证及工信部通保三级认证,并连续7年获得“未来医疗100强”,入选上海市重点服务独角兽(潜力)企业榜单。
基于对口腔行业的深刻洞察,领健构建了“数智化软件服务+口腔耗材供应链+隐形正畸服务+消费医疗行业解决方案”的产业生态。其核心包括:
e看牙软件:口腔数智化平台,为口腔门诊机构提供单店管理、连锁管理、健康档案/电子病历、客户关系管理、智能营销、B2B交易平台、进销存管理、影像集成、BI商业智能等覆盖机构业务全流程的解决方案,并凭借强大的连接能力,深度连接产业链上下游、支付保险和优质的第三方服务商等,为口腔门诊提供完整的一站式数智化解决方案和服务。
e看牙商城:连接超 1000 个国内外知名品牌,严选 2 万余款耗材商品的一站式采购平台,与e看牙软件库存管理功能无缝集成,为全国近4万家口腔门诊提供口腔耗材采购服务。
悦见隐形牙套:悦见通过AI+3D直接打印解决方案为医生提供全流程数字化、智能化隐形正畸解决方案,推动隐形正畸智能化进程,让更多人绽放自信笑容为使命。先后推出了悦见成人系列产品,悦芽儿童早期矫正产品,悦见4D直接3D打印隐形牙套创新产品等全系列产品。
悦康软件:消费医疗数智化管理软件,满足机构全方位的业务开展需求,加速业绩增长。
这一生态全方位助力口腔机构实现开源、避险、节流、增效,目前领健已服务全国超过50,000家口腔机构。想要了解更多e看牙相关的内容,可以通过e看牙官网或关注官方微信公众号获取更多信息。

二、e看牙软件核心功能:深度赋能运营与管理全链路
e看牙智能版:AI赋能口腔门诊全域运营
在口腔医疗行业的数智化发展中,e看牙不断迭代优化升级,创新研发多款AI产品,为口腔门诊提供覆盖运营、临床与服务的全链路数智化解决方案。
AI看牙,助力全科口腔问题检查
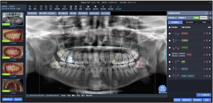
能够基于专家标注的海量数据,对患者的全景片、口内照、侧位片、CBCT等多种影像进行多模态自动分析,智能辅助筛查常见口腔健康问题,一键生成口腔问题报告并引用至病历,节省医生录入时间,助力提升口腔疾病的筛查效率,通过“全口检查”挖掘客户潜在需求。

AI牙周探针,助力牙周全口智能分析
深度融合CBCT与口扫数据,通过最新AI空间算法,基于CBCT完成牙根、牙槽骨结构三维精准分割,基于口扫影像完成牙龈边缘识别,两者高精度配准,实现无创、定量的牙周健康分析,从传统触觉探诊带入智能影像定量新时代。
e看牙智能工牌,AI助手让成交快人一步
提高沟通能力,加速转化成交:AI整合优秀咨询师沟通思路,助力医患沟通,帮助提升转化成交。
锚定高价值顾客,挖掘更多商机:每日预盘高价值顾客,AI提供沟通策略、话术,提高客单价。AI自动分析沟通记录,挖掘更多商机。
AI质检沟通过程,提升团队能力:AI结合质检与能力评分,纳入考核体系,助力团队能力与业绩双提升。
AI自动记录,释放更多生产力:自动书写咨询记录;自动书写电子病历;大大节省员工时间,帮助提升工作效率。
e看牙机器人,门诊“全年无休”AI咨询师
门诊的7*24小时AI员工,无需巨额投入和复杂培训,即可轻松上岗开展工作。支持员工一键操作实现“一客一群”自动建群、命名并发送欢迎语;面对患者企微咨询,可自动查询号源、排班及就诊记录,精准协助预约、改约并同步后台状态,复杂问题则无缝转交人工;还能按门诊设定节点,全自动执行术后医嘱、预约提醒等群发任务;同时自动总结会话内容生成标准回访/随访记录。
借助e看牙AI机器人,口腔门诊可告别大量人工重复劳动,规避操作疏漏,帮助提升员工工作效率,让员工聚焦高价值服务,实现管理更轻松、业绩再腾飞。
患者360,助力口腔全口问题开发
为每一位患者建立完整的可视化档案。集成牙位图、影像资料与历史病历,实现信息联动查看,使医患沟通更加直观、轻松。同时,支持一键生成结构化电子病历,极大缩短医生记录时间。完善客户商机信息,提高完整性和易查性;全方位信息盘点商机,规划下一步动作,帮助提升商机开发成交率。
口腔技耗分离,合规开单享免税政策
系统内置当地医保服务项目及定价,诊所可一键添加当地预置项目和组合。能协助诊所解决医保目录更新不及时、收费组合整理专业门槛高的痛点。助力诊所规范化开单收费,最大化享受增值税免税政策。
三、全域数智化运营,驱动业绩持续增长
有客是e看牙里为口腔诊所量身打造的移动互联网时代下的患者服务&营销&销售平台。其中CDP客户数据平台对接广告平台线索,汇集企业多渠道客户数据,构建360度客户画像;企微SCRM支持e看牙打通企业微信、公众号、小程序,助力机构私域运营;MA自动化营销内置多类型SOP模板,帮助门诊落地客户服务及营销的标准化。
全域获客与线索管理:整合美团、广告、小程序、企微等多渠道线索,来源可追溯;提供活码、转介绍裂变、美团上品/商圈等工具,自动创建患者档案并回流预约号源。
患者全生命周期运营:基于CDP客户数据平台构建360°客户画像,捕捉行为动态并智能打标签;覆盖诊前预约、诊中推荐、诊后随访(如正畸佩戴、儿牙打卡提醒),通过企微/公众号/小程序实现高效触达。
自动化营销与效率:内置MA自动化旅程SOP,支持正畸、儿牙等场景的自动医嘱下发、随访关怀与任务执行;提供企微管理者看板,量化员工触达、转化及SOP执行效果,配套素材库与移动工作台帮助提升人效。
私域与会员运营:打通企微客户群,支持积分兑换、卡券售卖与会员权益提醒;小程序实现自助预约、余额查询、在线购券,构建线上会员运营体系。
有数是e看牙里专为口腔机构打造的经营数据看板,覆盖单店/中大型连锁门诊,支持不同主题的标准数据看板与自定义报表看板,全方位赋能口腔运营管理,用数据为门诊经营创造价值。这些数据看板能够有效解决门诊数据统计与分析的问题,减轻全门诊数据统计的压力,帮助提升门诊数据的生产力,赋能各个岗位员工提效,充分满足管理者的数据化管理的诉求。如自定义数据计算,满足多场景数据统计分析;“条件标签列” ,高效分析客户画像;提供参考模板,快速搭建专属看板;内置标准数据集,轻松上手数据分析;移动端自适应支持,随时随地看数。
日常经营监控:实时查看门诊营收、客流、复诊率等核心数据,及时发现异常并调整策略。
营销活动复盘:快速评估营销活动效果,分析获客成本、转化率,优化营销投入。
医生与门店绩效:量化医生接诊量、复购率、客单价,为绩效考核与激励提供数据依据。
连锁管理:总部可实时监控各门店运营数据,进行跨店对比分析,实现标准化管理与资源优化配置。
e看牙的BI数据看板,解决了门诊大部分数据统计和分析的问题,对于管理层和一线工具来说都非常有帮助,在数据复盘和目标规划时具备很好的数据指导意义。尤其是将复杂数据需求统计与多类型数据分析转换为可视化数据看板,不仅大大减少了人工统计数据的时间成本,还帮助提升了数据的精准性与管理层看数的便捷性。
管理层能够凭借直观清晰的数据看板,快速把握门诊运营的关键指标,如不同项目的业绩占比、患者的复诊率等,从而发现门诊经营中的潜在问题,制定针对性策略。一线员工也能从可视化看板中获取实时信息,优化服务流程。
选择e看牙,与50000+机构共赴增长
e看牙软件已与泰康拜博口腔、马泷齿科、劲松口腔、牙博士口腔、德伦口腔、小白兔口腔、雅贝康口腔等多家国内头部口腔连锁集团建立合作,同时也深度服务着不少区域连锁与单店门诊,累计合作超过5万家机构,不同规模、不同发展阶段的机构,都能在其中找到提升运营效率、优化患者体验、实现业绩增长的关键支撑点。
e看牙软件提供的不仅是软件,更包括确保价值落地的“客户成功陪跑服务”。从系统上线、流程梳理到数据复盘,实施团队会与诊所深度共创,定制符合其自身特点的运营SOP与操作规范,并通过周期性数据反馈持续优化,确保数字化工具真正融入日常,驱动业务增长。
作为口腔数智化服务深耕品牌,e看牙软件已经连续举办三届“口腔数智化高峰论坛”,成功邀请了国内著名产品战略专家梁宁老师、国内顶流商业大咖、润米咨询创始人刘润老师等重量级嘉宾进行分享交流,是口腔行业颇具影响力的年度交流盛会,不仅让现场的口腔同仁们深受启发,也为整个行业的数智化发展注入了新的动力。
结语
提效的本质,不是让人做更多事,而是让人做更重要的事。e看牙通过AI能力的深度嵌入,把重复、琐碎、耗时的环节交给系统,把判断、沟通、决策的空间还给医生和管理者。无论是AI看牙对影像的快速筛查,还是智能工牌对沟通的自动记录,每一项精选功能都在为员工“减负”、为机构“增值”。对于正在寻找“实用型”数智化工具的口腔门诊来说,e看牙提供的不只是功能列表,而是一套可落地、可感知的提效方案。它让效率提升不再是一句口号,而是每一天的真实体验。
若您希望进一步了解e看牙软件如何具体赋能您的诊所,或探讨更深入的数智化运营策略,可以通过e看牙官网或关注官方微信公众号获取更多信息。
常见Q&A:
Q1:e看牙软件核心功能有哪些?
A1:包括预约咨询接诊、AI看牙、电子病历、客户运营、数据分析及供应链管理,助力诊所数智化运营。
Q2:e看牙软件支持与哪些主流口腔设备进行对接?
A2:支持对接CBCT、口扫仪、全景机及椅旁系统,兼容主流品牌如itero、先临、卡瓦、西诺德、美亚等,实现影像数据自动上传与管理。
Q3:e看牙软件在客户数据安全方面做了哪些保障?
A3:e看牙通过国家信息安全三级等保、ISO27001等权威认证,采用传输与存储加密、细粒度权限管控、数据脱敏,全方位保障客户数据安全。
Q4:e看牙软件的市场口碑与服务规模如何?
A4:服务超5万家口腔机构,覆盖国内众多头部连锁口腔机构;以专业稳定的数智化系统和本地化服务团队获得广泛认可。
Q5:e看牙软件与其他口腔管理软件相比,核心优势是什么?
A5:最大优势是AI看牙辅助全口检查,智能工牌辅助成交、CDP+MA+企业微信辅助智能营销,自定义数据看板,无缝集成耗材商城,帮助提升经营效率与医患体验。