山东大学齐鲁医院成功完成国内首例3D打印距骨半髁置换手术

2021-02-09 13:50:05 来源:舜网

作者:韩琴诗 通讯员:尹璐 刘艳

责任编辑:颜甲

  近日,山东大学齐鲁医院手足外科顺利完成1例距骨部分坏死3D打印距骨半髁置换术。手术效果满意,患者随访良好。

  患者,男,28岁,左踝关节疼痛1年,加重3个月,影像学表现为左距骨内髁坏死、塌陷,面积约3*2cm大小。距骨坏死的治疗,对直径在2cm以内的距骨坏死,可以采用自体股骨髁骨软骨移植、自体带骨膜髂骨移植等方法,但对于直径超过2cm的距骨坏死,尤其是年轻患者,一直是治疗的难点。搜索国内外文献,对于超过2cm距骨坏死,一般采用踝关节融合、踝关节置换、同种异体距骨移植、全距骨置换等方法。但上述方法均有弊端:采用关节融合,患者丧失踝关节功能;踝关节置换、全距骨置换对于年轻、距骨单髁坏死患者,创伤大,且需要多次的返修手术;国外有采用同种异体新鲜距骨移植的报道,但目前国内还没有相关的骨组织工程库。经手术团队术前充分讨论,认为3D打印技术因其个性化的设计已经越来越多地应用于临床,决定对患者行3D打印距骨部分置换手术。

山东大学齐鲁医院成功完成国内首例3D打印距骨半髁置换手术

山东大学齐鲁医院成功完成国内首例3D打印距骨半髁置换手术

山东大学齐鲁医院成功完成国内首例3D打印距骨半髁置换手术

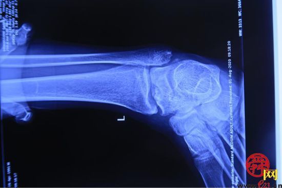
  (术前患者的影像情况)

  手术在朱磊教授的指导下,由许庆家教授主刀,崔宜栋主治医师及刘奔医师作为助手实施完成。术中按照术前设计,将坏死距骨切除,置入设计好的3D打印的距骨半髁假体。术后指导患者早期功能锻炼,术后7天患者顺利出院。

山东大学齐鲁医院成功完成国内首例3D打印距骨半髁置换手术

山东大学齐鲁医院成功完成国内首例3D打印距骨半髁置换手术

  (术前3D打印设计)

山东大学齐鲁医院成功完成国内首例3D打印距骨半髁置换手术

山东大学齐鲁医院成功完成国内首例3D打印距骨半髁置换手术

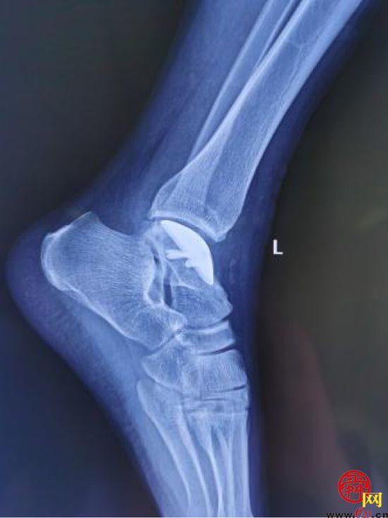
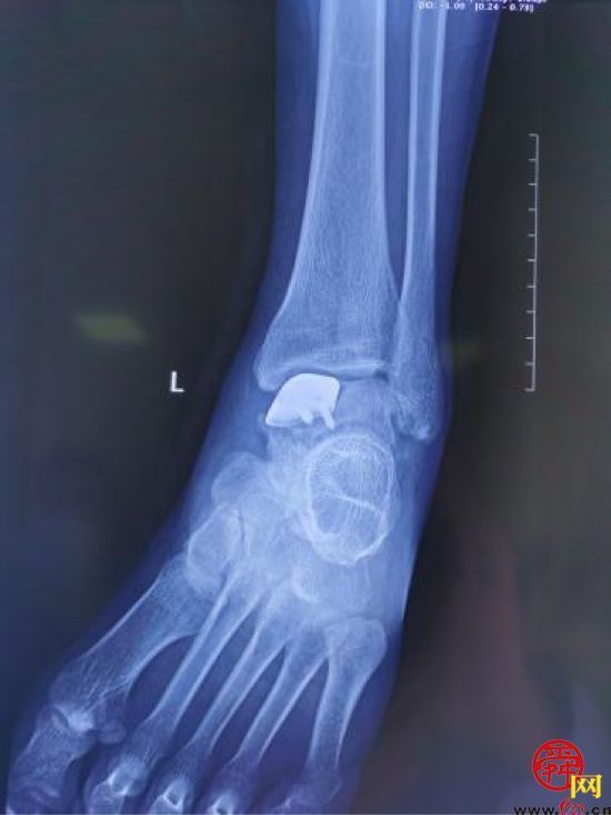
  (术后X线情况)

山东大学齐鲁医院成功完成国内首例3D打印距骨半髁置换手术

山东大学齐鲁医院成功完成国内首例3D打印距骨半髁置换手术

  (术后7天踝关节功能)

  3D打印距骨部分置换术,为距骨部分坏死患者提供了一种新的治疗方法,经查新目前国内外还没有相关的文献报道,为国内首例。这不仅体现了齐鲁医院在医疗技术方面发挥的引领辐射作用,也证明了齐鲁医院手足外科在显微外科领域和足踝疾病的诊断与治疗方面均位于国内前列。

作者:韩琴诗 通讯员:尹璐 刘艳

责任编辑:颜甲
新闻排行
进入新闻中心