5岁男孩“脖子不舒服” 被爷爷带去按摩 回家一小时后瘫痪


5岁小男孩说脖子不舒服,爷爷带他去自己常去的按摩“松骨”,谁知回家后一小时孩子突然瘫痪!在医院查出椎管内出血,经过十多天的治疗,孩子才重新站起来。武汉儿童医院专家提醒,千万不要随意带小儿按摩。
5岁半的男孩琦琦(化名)平时很好动,因为父母工作很忙,他平时跟爷爷奶奶住在汉口,到了周末爸爸妈妈把他接回。上周一,他从幼儿园回家后,对爷爷说自己“脖子不舒服”,又说不清哪里疼。爷爷听了很是心疼,想起自己平时有个腰酸背痛,就经常去小区的一家推拿店,按一按很舒服,遂把小孙子也带到了店里,请师傅给琦琦也按摩一下,按摩持续约大半个小时,琦琦还挺配合。
琦琦回家后没说脖子痛了,开始玩玩具,一小时后,琦琦说自己“手没劲”,拿东西拿不住,想站都站不起来,爷爷奶奶吓得六神无主,赶紧把孩子送到家附近的武汉儿童医院,通知了琦琦父母。
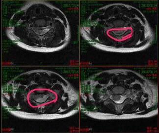
CT片显示,琦琦椎管内有出血,压迫了神经,导致他出现瘫痪症状。武汉儿童医院神经外科主任杜浩主刀为他做了手术,清除血块,之后给与对症治疗。一家人后怕不已,好在琦琦的病情逐渐好转。 26日,琦琦基本恢复正常,康复出院。
杜浩介绍,不少人把按摩、足疗当成一种保健和休闲的方式,但这种方式并不适合小孩。儿童的脊柱尚在发育期间,弹性大、柔韧性强,相对稳定性较差,而且脊柱周围肌力相对薄弱,保护力量不足,如果遭受不合理按压,就可能出现损伤。琦琦还算是幸运,恢复情况较好,因为在街头一些无资质的小店按摩,甚至网购按摩仪而导致瘫痪、脑梗死、中风的患者,并非个例。这些患者大多有基础病,更不能乱按。杜浩提醒市民,孩子身体不适,还是先找医生诊断,如果真有颈椎方面的问题,也要遵医嘱进行对症治疗。
值班主任:李欢
新闻精选
























